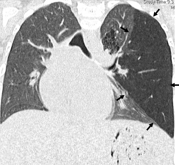
A Pediatric Case of Pulmonary Hypertension Associated with Congenital Bronchial Atresia
1 Division of Cardiology, National Center for Child Health and Development ◇ Tokyo, Japan
2 Division of Respiratory Medicine, National Center for Child Health and Development ◇ Tokyo, Japan

